EsSalud: infecciones crónicas en las encías agravaría situación de pacientes con COVID-19

marzo 18, 2021
Autor: Victor Palacios

Compartir:

EsSalud advierte que los pacientes que sufran de infecciones crónicas en las encías (periodontitis) tienen más riesgo de requerir un ventilador mecánico si llegan a tener covid19, porque las bacterias que causan la enfermedad periodontal se alojan en la garganta y aumentan el riesgo de una infección respiratoria.

José Cornejo, cirujano dentista del servicio de odontología del hospital Almenara de EsSalud refirió que la periodontitis es más prevalente en personas adultas con algunas comorbilidades como enfermedades cardiovasculares, presión arterial y diabetes.
“Se ha visto que esta pandemia producida por la covid-19 tiene un gran componente inflamatorio y está relacionada a estas enfermedades que, a su vez, están vinculadas con este mal periodontal, como lo es la hipertensión arterial, la enfermedad cardiovascular y la diabetes” añadió el doctor.
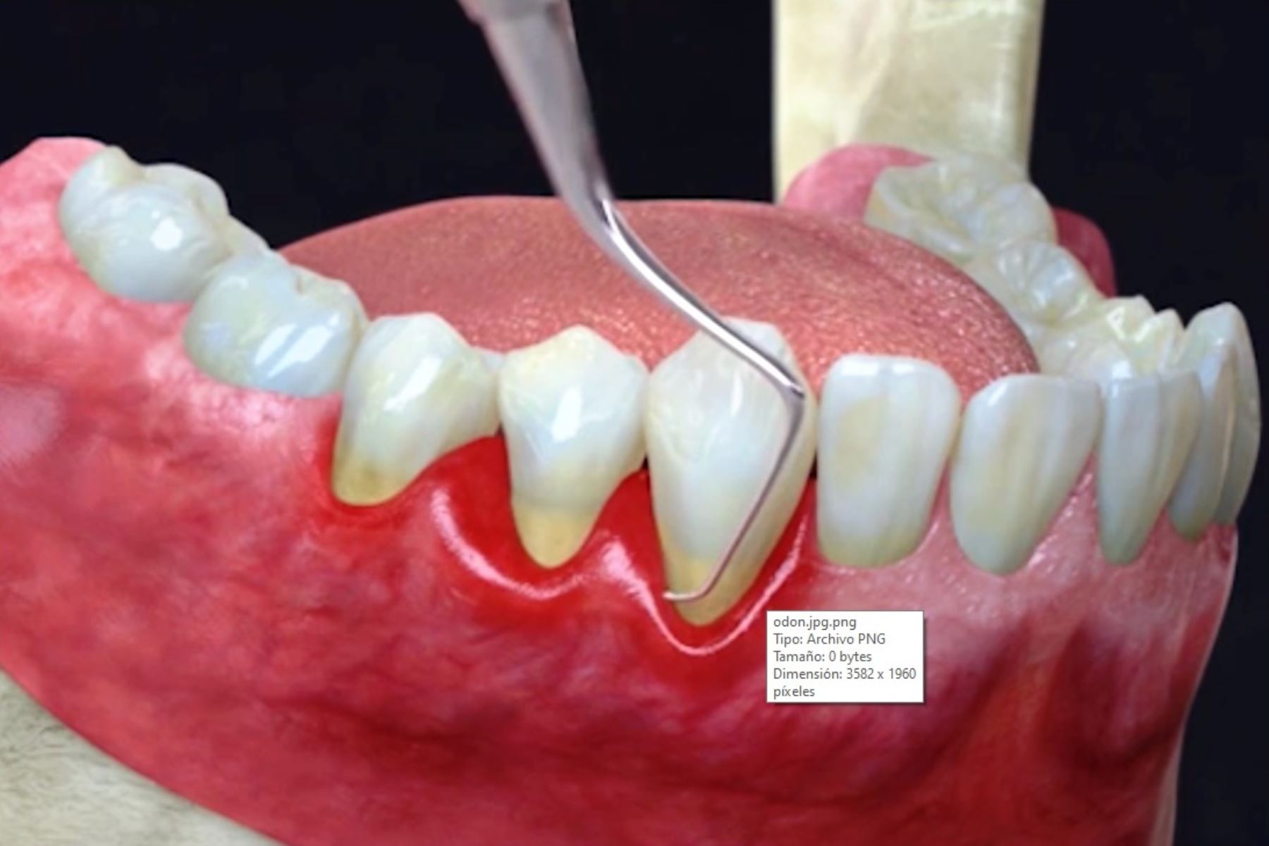
Agregó que, durante la enfermedad periodontal, se forman unas bolsas en las encías y es ahí donde se van depositando las bacterias.
“Estas bacterias que están en los dientes pueden pasar al corazón, a los riñones, a los huesos y originar otra serie de situaciones complicadas para el paciente que lo padece, pero es importante controlar esa carga bacteriana que produce inflamación”, anotó.
El especialista enfatizó sobre la importancia de eliminar la placa bacteriana, por ser un campo fértil de bacterias que se encuentran en la superficie de los dientes y que se acumula cuando no mantenemos una constante higiene bucal.
Recomendó el cepillado diario de los dientes después de cada comida, el uso del hilo dental y el enjuague bucal. También sugirió un chequeo odontológico preventivo.

Más populares

[imagen_perfil_autor]
Victor Palacios
Editor web de El Tiempo y La Hora. Periodista y fundador del equipo digital del diario El Tiempo. Comunicador con experiencia en Marketing Digital, Data Analyst, SEO, Web Design, Email Marketing e Ecommerce.
[linkedin_autor]
Únete a nuestro Newletter
Únete a nuestro Newletter
RSS Suscríbete a nuestro RSS
Publicidad